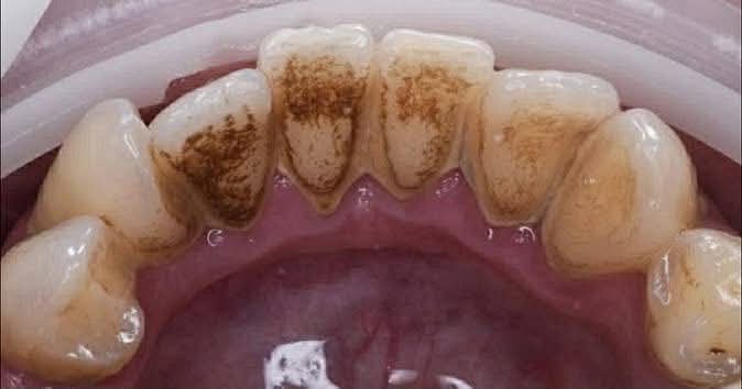
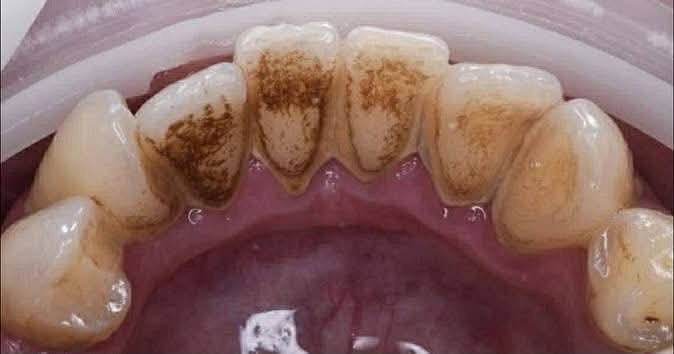
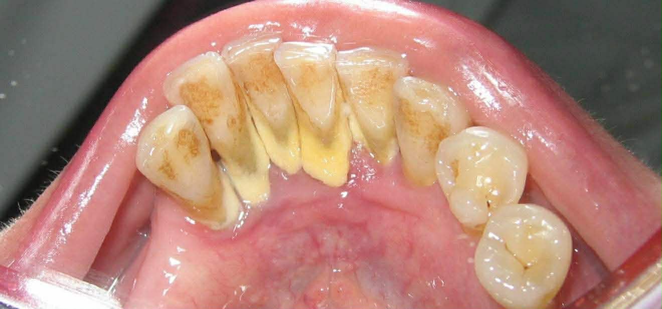
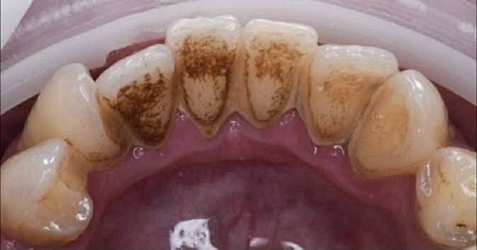
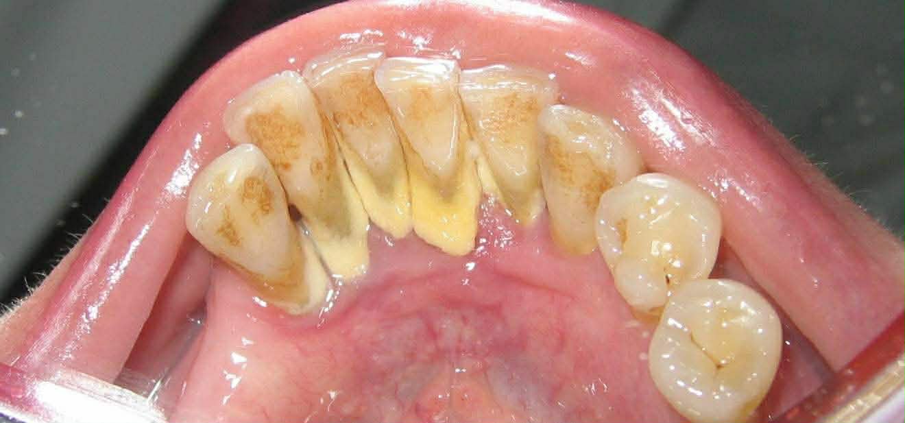
რატომ ვერ იწმინდება ნადების 80 % სახლში?
კბილების ყოველდღიური წმენდა აუცილებელია, თუმცა თანამედროვე სტომატოლოგიური კვლევები ადასტურებს, რომ პირის ღრუში არსებული ნადები სრულად ვერ იწმინდება. ამის მიზეზი არ არის დაუდევრობა – ეს ბიოლოგიური და ანატომიური რეალობაა.
/სტატიის ავტორი:
ექიმი მარიამ ქლიბაძე — სტომატოლოგი, თერაპევტი და პირის ღრუს ქირურგი/
სტომატოლოგიაში ნადები განიხილება როგორც – მიკროორგანიზმების ორგანიზებული კოლონია, რომელიც:
1. მყარად ეკვრის კბილის ზედაპირს
2. დაფარულია დამცავი პოლიმერული გარსით
3. მდგრადია მექანიკური და ქიმიური ზემოქმედების მიმართ
კვლევებით დადასტურებულია, რომ ნადების სტრუქტურა ზღუდავს კბილის ჯაგრისის ეფექტურობას, განსაკუთრებით იმ ადგილებში, სადაც ვიზუალური კონტროლი რთულია.
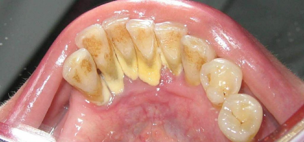
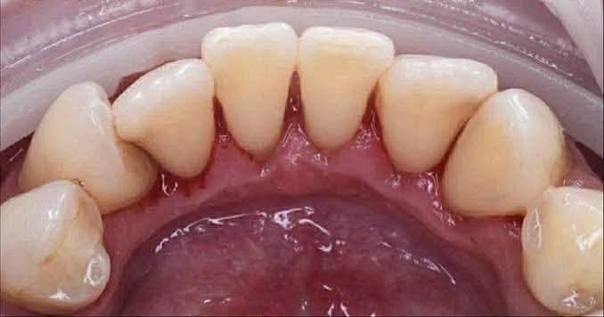
სუბგინგივალური ზონა – ხელმისაწვდომობის პრობლემა
ნადების მნიშვნელოვანი ნაწილი გროვდება:
- ღრძილის ხაზის ქვეშ (სუბგინგივალურად )
- კბილის ყელთან
- ღრძილის ჯიბეებში
კბილის ჯაგრისი ფიზიკურად ვერ აღწევს 2-3 მმ-ზე ღრმად, მაშინ როცა ბაქტერიული კოლონები ხშირად უფრო ღრმადაა ლოკალიზებული.
მინერალიზაცია – რბილი ნადებიდან კბილის ქვამდე
ნადები 24-72 საათში იწყებს:
მინერალიზაციას ნერწყვის კალციუმისა და ფოსფატის იონების ზემოქმედებით
გარდაქმნას კბილის ქვად.
მინერალიზებული ნადები ვერ იშლება ჯაგრისით, ძაფით ან ირიგატორით მისი მოცილება შესაძლებელია მხოლოდ პროფესიული ულტრაბგერითი ან მექანიკური ინსტრუმენტით.
ანატომიური ფაქტორები, რომელიც ზღუდავს თვითწმენდას.
კვლევებით დადგენილია, რომ ნადები ყველაზე ხშირად ნარჩუნდება
1. კბილთაშორის სივრცეებში
2. ორთოდონტიული კონსტრუქციების გარშემო
3. ძველ რესტავრაციებთან და ბჟენებთან
4. არასწორი ან ინდივიდუალური ანატომიის პირობებში
სტატისტიკურად, კბილებს შორის სივრცეებში ნადების მოცილების ეფექტურობა სახლის პირობებში არ აღემატება 40-50%-ს თუნდაც სწორ ტექნიკასთან ერთად.
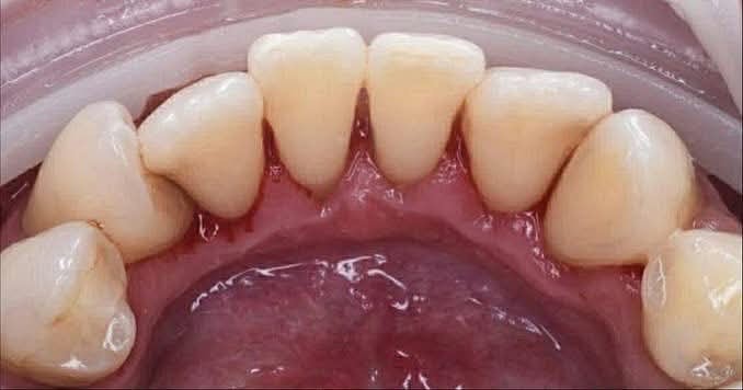
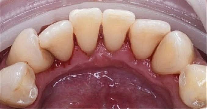
საერთაშორისო სტომატოლოგიური ორგანიზაციები რეკომენდაციას უწევენ პერიოდულ პროფესიულ წმენდას, როგორც ანთებითი პროცესების, კარიესისა და პაროდონტული დაავადებების პრევენციის აუცილებელ ნაწილზე.
1. რეგულარული სახლის მოვლა
2. სწორი ინდივიდუალური რუტინა
3. პერიოდული პროფესიული წმენდა
ერთად ქმნის რეალურად ჯანმრთელ პირის ღრუს!
თუ პროფესიული წმენდიდან გასულია 6 თვე უკვე დროა ჩაეწერო ვიზიტზე.










